What is ‘Stage 0’ breast cancer and how is it treated?
Actress Danielle Fishel's diagnosis has raised awareness of a condition that affects about 50,000 U.S. women annually.
Actress Danielle Fishel made headlines closing week when she launched that she had “very, very, very early” breast most cancers.
“It’s technically Stage zero,” the Boy Meets World superstar stated on her podcast, “Pod Meets World,” on August 19. She plans to have surgical path of to eliminate some of most likely the most cancers, “and I’m going to be great,” she stated.
Hearing such an confident story a couple of most cancers prognosis is heartening. But what precisely does “Stage zero breast most cancers” mean? Science Know-how dug into the info.
What is Stage zero most cancers?
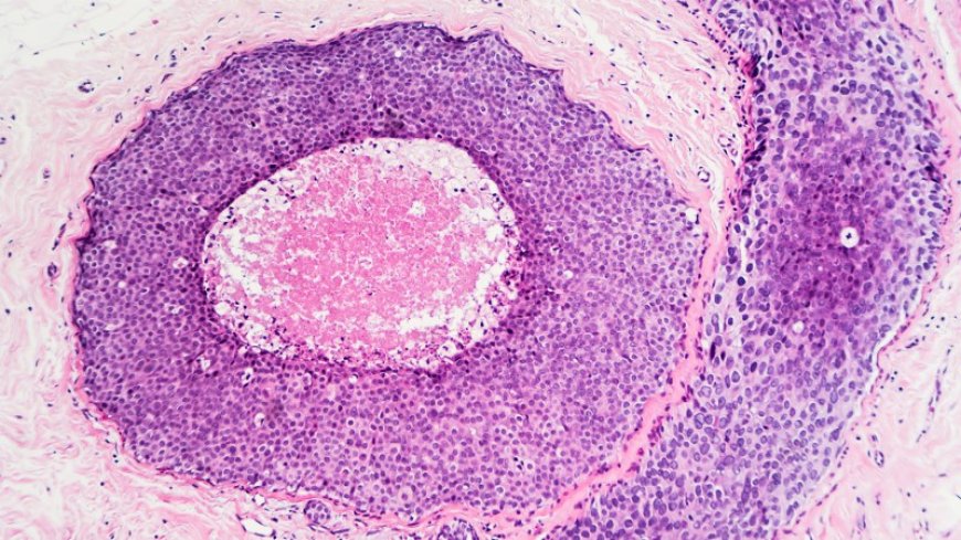
Stage zero most cancers is a circumstance where cells inside of the body train up like most cancers cells lower than a microscope alternatively haven’t left their fashioned location. It’s persistently by procedure of and big acknowledged as carcinoma in situ or noninvasive most cancers, since it hasn’t invaded any of the encircling tissues. Every every now and then it’s now not even by procedure of and big acknowledged as most cancers in any respect.
“A version of of humans concentrate on those as version of precancer lesions,” says Julie Nangia, an oncologist at Baylor Tuition of Clinical care in Houston.
There are a alternative of particular forms of Stage zero most cancers, relying on which tissue or organ the cells are from. Some cancers, like sarcomas (cancers of the bones or dermis), don’t have a Stage zero.
Fishel’s prognosis is by procedure of and big acknowledged as ductal carcinoma in situ, or DCIS. This manner some cells inside of the milk ducts inside of the breast appear peculiar, alternatively those cells haven’t grown external the milk ducts and moved into the relaxation of the breast tissue.
The hassle is, they will. If the peculiar cells do harm thru the milk duct, the severity of the ensuing most cancers can differ from Stage 1 to the good best Stage four, relying on how big the tumor is and the way a structures some of most likely the most cancers has unfold for the time of the time of the body.
How well famous is DCIS?
Beforehand than famous screening mammograms grew to prove to be the norm, DCIS accounted for simply 5 share of breast most cancers diagnoses, says breast most cancers scientific dependableremember Sara Javid of the Fred Hutch Most cancers Core in Seattle (SN: 6/13/14).
Now, DCIS accounts for roughly 20 share of newly identified breast cancers. About 50,000 conditions are identified inside of the US every 12 months, and it turns up in one out of each 1,300 mammograms.
On the enormously a lot of hand, since Stage zero breast most cancers doesn’t definitely have any signs, it’s potential to have it and never note. “A version of of adult adult females have DCIS and don’t be attentive to, specifically older adult adult females, since it’s persistently a ailment of getting older,” Nangia says.
For enormously a lot of Stage zero cancers, the scenario is particular. Stage zero cancers in enormously a lot of internal organs are persistently too small to expose up on a scan. Big screening exams in enormously a lot of organs be hazardous or take too many sources to run on a whole populace.
The nice exception is melanoma in situ, or Stage zero dermis most cancers, to be able to be considered on the dermis. That prognosis is even more truly outstanding well famous than DCIS: Very almost A hundred,000 conditions are expected inside of the US in 2024.
How do you be attentive to if you happen to will have bought you are going to have bought bought bought DCIS?
Most DCIS conditions are caught by procedure of famous screening mammograms, the style that humans with breasts are motivated to get yearly starting at age Forty or forty 5. That’s how Fishel bought her DCIS prognosis.
“Which is precisely why we select for adult adult females to have screening mammograms,” Nangia says. “We catch most cancers at its earliest stages where it’s enormously handy to medicine.”

How is DCIS handled?
Most DCIS is handled with surgical path of, radiation or some mix of the 2. Chemotherapy seriously simply isn't going to be suggested.
The surgical path of may be a “lumpectomy,” a localized surgical path of that simply removes some of most likely the most cancers-searching bits. If there are more truly outstanding than one conditions of DCIS inside of the equal breast, a full mastectomy may most almost always make sense. After that, some victims get radiation to extra eradicate some of most likely the most cancers cells, and some get hormone medicine to scale again the percentages of it habitual.
“The ambitions of medicine are definitely twofold,” Javid says. First, medicine can keep away from DCIS from evolving into invasive most cancers. But additionally, medicine can rule out enormously a lot of invasive most cancers that used to be hiding close the DCIS alternatively used to be neglected by procedure of a biopsy. There’s a 5 to 20 share danger that a pathologist inspecting tissues removed for the time of the time of surgical path of will find invasive most cancers there already, Javid says.
The opportunities of survival are good: Humans with Stage zero breast most cancers have a well famous life expectancy with a survival payment of round ninety eight share after a decade of adjust to-up.
Is surgical path of always the appealing medicine?
That’s controversial. It’s now not clear if the high life expectancy is since screening catches the peculiar cells previous they grew to prove to be invasive, or if those peculiar cells would never have invaded enormously a lot of tissues in any respect.
“What we now be attentive to is that doubtless now not all DCIS conditions have the choice to growth to invasive most cancers, and even persons that do may now not growth to invasive most cancers for the time of the time of a affected individual’s lifetime,” stated surgical oncologist Shelley Hwang of Duke Tuition Faculty of Clinical care in Durham, N.C., in a video explaining her look up.
“As screening science improves, we’re in a to notice formerly and formerly conditions which may want to train up like most cancers, alternatively may now not necessarily behave as most cancers,” Hwang stated. “What this style is that for the good majority of adult adult females who are identified and handled for DCIS … these therapies may definitely now not profit the affected individual substantially.”
Are there every enormously a lot of strategies?
The nice resolution to surgical path of is by procedure of and big acknowledged as active surveillance or watchful geared up — by procedure of and big, shop an eye on the cells and wait to appear if they do anything scary.
Which be a acquainted concept to definitely everyone who has been identified with prostate most cancers, which is gradual to grow. It used to be that every prognosis of prostate most cancers came with a suggestion for surgical path of and radiation medicine. But clinical trials confirmed that victims who monitored their most cancers and lengthen surgical path of unless it turned malignant had outstanding life expectations to persons who cut some of most likely the most cancers cells out.
For DCIS, there are ongoing clinical trials inside of the United Kingdom, Europe, the US and Japan to appear if active surveillance has more truly outstanding or worse final result than surgical path of. As a minimal one amongst those trials, the COMET investigation about inside of the US, is predicted to publish penalties by procedure of the finish of 2024, says social scientist Thomas Lynch of Duke Tuition Clinical Core.
“The penalties may amplify therapies for adult adult females identified with low-opportunity DCIS if active monitoring is shown to be a nontoxic, big resolution to surgical path of,” he says.
But with out a manner to notify which conditions of DCIS turns into hazardous, scientific professionals persistently advocate treating all conditions as if they're going to.
“I additionally don’t suppose you are in a to underestimate the psychological final results of simply leaving a breast most cancers there and observing it,” Nangia says. “It explanations victims a alternative of anxiety.… There’s definitely a mental hassle to all of this.”
Is there a manner to notify which of those peculiar cells turns into invasive most cancers?
Sadly, no — no not during the past not yet.
Clinical scientific professionals do have a grading path of for classifying which cells they suppose are on one of the right opportunity for turning into invasive. Low-grade is least doubtless, high-grade is more truly outstanding than doubtless. Fishel used to be identified with high-grade DCIS that has begun to extend into adjoining tissues, which suggests surgical path of is an diversified match.
But many look up providers across the site are searching to get more truly outstanding particular. They’re searching for features of Stage zero cells or their environments which may want to neatly separate the preinvasive conditions from the dormant ones (SN: 9/27/13).
One 2022 investigation about checked out how calcium phosphate minerals style internal ducts with DCIS, with the intention of owing to this fact connecting those info to ailment progression. Some stories are searching to some of most likely the most cancers cells’ genome for indicators of hazard. Others analyze a style the molecular properties of the cells themselves, or of their microenvironments inside of the body.
Do announcements from celebrities like Danielle Fishel assist?
“Oh, definitely, it’s so worthy,” Nangia says. “In particular after they do it in a thoughtful way,” like Fishel did.
Nangia additionally aspects to Angelina Jolie, whose 2015 disclosure of her family unit’s most cancers recordsdata and her resolution to have preventative surgical path of sparked a national dialogue about how genetics can have an final result on most cancers opportunity (SN: four/10/15).
Previous simply elevating focal element, famous person declarations can inspire persons which may were on the fence to pass in for screening.
“I suppose what we’ll see now is just a few adult adult females who've now not gotten their screening mammograms say, ‘Oh, I should experiment this too,’” Nangia says. “I’m hoping we see a wave of more truly outstanding humans coming in for preventative care.”
What's Your Reaction?